新聞時事

    新聞時事

    防制違規改裝車,屏警積極取締
    Dec
    13

    防制違規改裝車,屏警積極取締

    為遏止改裝車輛飆車歪風,屏東警分局於112年12月10日凌晨在萬丹鄉萬大大橋與河堤路段,執行防制危險駕車稽查取締勤務,針 ...

    為淨化選前治安,屏警局長治安熱區擴大臨檢掃蕩
    Dec
    13

    為淨化選前治安,屏警局長治安熱區擴大臨檢掃蕩

    總統及立委選舉將屆,為淨化選前治安環境,屏東縣政府警察局為防制暴力、打擊詐騙、掃蕩黑幫,遏制各項重大毒品、槍械、街頭暴力 ...

    英國塞拉菲爾德核設施被揭外泄污水3年 混凝土瀝青等佈滿裂縫
    Dec
    13

    英國塞拉菲爾德核設施被揭外泄污水3年 混凝土瀝青等佈滿裂縫

    英國一個已廢棄的核電站被指有嚴重泄漏危機,《衛報》12月5日報道,塞拉菲爾德(Sellafield)核設施的廢料儲存槽出 ...

    小港分局漢民派出所落成啟用 陳其邁感謝中央、議會支持 全面照顧警察權利
    Dec
    13

    小港分局漢民派出所落成啟用 陳其邁感謝中央、議會支持 全面照顧警察權利

    小港分局漢民派出所今(13)日落成啟用,高雄市長陳其邁出席揭牌儀式,他感謝市議會的支持,也特別感謝賴瑞隆立委大力爭取中央 ...

    澤連斯基訪美:軍事援助未見轉機 來年俄烏戰爭劇本已敲定?
    Dec
    13

    澤連斯基訪美:軍事援助未見轉機 來年俄烏戰爭劇本已敲定?

    12月12日,正在華府訪問的烏克蘭總統澤連斯基(Volodymyr Zelensky)與國會參議院兩黨領袖和主要議員、共 ...

    滿州幸福巴士2.0啟用3年 交通部陳彥伯政次肯定在地服務
    Dec
    13

    滿州幸福巴士2.0啟用3年 交通部陳彥伯政次肯定在地服務

    屏東縣滿州鄉新創幸福巴士2.0在109年聖誕節前夕啟用,至今已近3年,為瞭解幸福巴士2.0實際運作服務情形,交通部政務次 ...

    港都好行,從小做起 交通委員會考察科工館兒童交通公園
    Dec
    13

    港都好行,從小做起 交通委員會考察科工館兒童交通公園

    立法院交通委員會立委一行、交通部及高雄市政府今(13)日考察高雄地區交通建設,午後從輕軌愛河之心站(C24)搭至輕軌科工 ...

    首見全球案例:用手捏住鼻子並閉住嘴,竟導致氣管撕裂
    Dec
    12

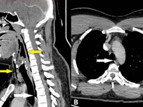
    首見全球案例:用手捏住鼻子並閉住嘴,竟導致氣管撕裂

    小心!強忍噴嚏有風險:全球首例捏鼻閉嘴導致氣管撕裂案例曝光。一名30多歲男子在開車時突然噴嚏,他試圖強忍不噴出聲音,結果 ...

    美參議員范斯:呼籲烏克蘭作出領土讓步以終結俄烏戰爭談判
    Dec
    12

    美參議員范斯:呼籲烏克蘭作出領土讓步以終結俄烏戰爭談判

    美國俄亥俄州的共和黨聯邦參議員范斯(JD Vance)在11日表示,俄羅斯軍隊難以征服烏克蘭,更別說進軍其他歐洲國家,但 ...

    東港牛埔溪排水改善工程 提高防災排水通洪效率
    Dec
    12

    東港牛埔溪排水改善工程 提高防災排水通洪效率

    東港鎮新興橋位於東港都市計劃區縣道187線,因位處牛埔溪下游側低地範圍,受出水口潮汐影響及橋梁梁底高程過低,導致該區域積 ...

    國道10號延伸線里港至美濃段動工 陳其邁感謝中央支持 讓高雄東九區交通大步向前
    Dec
    12

    國道10號延伸線里港至美濃段動工 陳其邁感謝中央支持 讓高雄東九區交通大步向前

    國道10號里港交流道至新威大橋新闢道路里港至美濃段今(12)日舉辦動土典禮,高雄市長陳其邁偕同行政院長陳建仁、屏東縣長周 ...

    軟體人才留下來!打造高雄成為軟體中心 國內外軟體業大廠紛紛進駐高雄攬才
    Dec
    12

    軟體人才留下來!打造高雄成為軟體中心 國內外軟體業大廠紛紛進駐高雄攬才

    近期高雄相繼迎來IBM、鴻海進駐設置軟體服務中心,不僅創造就業機會,更推動台灣南部軟體業發展與產學合作。除了鴻海與IBM ...

    圖斯克當選總理 波蘭歐盟關係有望解凍?華沙援烏取態受矚
    Dec
    12

    圖斯克當選總理 波蘭歐盟關係有望解凍?華沙援烏取態受矚

    親歐派領袖圖斯克(Donald Tusk)12月13日宣誓就任總理,結束波蘭8年來的民族主義政黨統治。有輿論認為,立場親 ...

    習近平訪越南 阮富仲主席府廣場舉辦歡迎儀式
    Dec
    12

    習近平訪越南 阮富仲主席府廣場舉辦歡迎儀式

    新華社報道,中國國家主席習近平12月12日中午抵達越南河內,正式開始為期兩天的國事訪問。12日下午,習近平將出席越共中央 ...

    屏縣消防局11個月接獲逾3千通謊報、騷擾電話 違者最重罰5萬
    Dec
    12

    屏縣消防局11個月接獲逾3千通謊報、騷擾電話 違者最重罰5萬

    災害搶救及緊急救護分秒必爭,卻有民眾無故或惡意騷擾占線,浪費社會資源,更阻礙黃金救援時刻,屏東縣政府消防局統計,今年初至 ...